Prosthetics that are close to the future

私たちは、インプラント補綴を中心に、患者様の未来を見据えた技工物づくりを行っている歯科技工所です。
私たちの信念は「喜ばれることに喜びを」
技工物はモノではなく、患者様の人生の一部であるという意識のもと、信頼できる歯科医院様と長く誠実なお付き合いを続けていきたいと願っています。

喜ばれることに喜びを患者様の未来を見据えた技工物づくり

Service

歯科医師・患者様それぞれの立場を理解し、患者様の年齢・咬合力・生活背景まで考慮した設計をご提案しています。
壊れない補綴物とは、患者の人生設計に寄り添うもの。そうした技工を、これからも一つひとつ丁寧に積み上げていきます。

Technical

インプラント

インプラント

当技工所はインプラント補綴に特化しており多様な症例に柔軟に対応可能です。
スクリューリテイン、セメントリテイン、カスタムアバットメントなど設計提案からのご相談にも対応いたします。

ジルコニア

ジルコニア

高い強度と優れた審美性を兼ね備えた補綴材料として、広く臨床で活用されています。特に臼歯部の強度を要する症例やメタルフリーを希望される患者様に最適です。

ジルコニア

e-max(イーマックス)

天然歯に近い透明感と美しさを持つ審美補綴材です。前歯部や単冠、インレーなどに適しており、自然な色調表現が可能で金属アレルギーの心配もありません。

SMOP

スモップ

インプラント治療におけるコンピューターガイドシステムの一つで、CT診断によるシミュレーションを実際の口腔内で再現いたします。
これにより、より正確なインプラント埋入が可能になり、患者の負担を軽減する手術(フラップレス手術)も行える場合があります

スモップ

特徴

  • マッチング精度の徹底的追求

  • 口腔内での適合度の追求

  • さまざまな症例に対応

  • 部分的骨支持にも対応可能

  • インプラントシステムの多くに対応

  • 複数のウィンドウ作製可能

  • スモップ
  • スモップ
  • スモップ

Facility

Digitalization

Digitalization

口腔内スキャナーやCTデータなどのデジタル情報を活用し、補綴物の設計・製作を精密かつスピーディーに行います。

CAD

CAD

3D CADソフトを用いて、補綴物の構造・適合・咬合を高精度に設計。症例に合わせた補綴設計を行います。

CAM

真空加圧鋳造機

真空状態と加圧を組み合わせることで、気泡の少ない高精度な鋳造が可能になり、フィット性・耐久性に優れた精密な補綴物を提供できます。

CAM

3Dプリンター

デジタルデータから模型や仮歯、ガイドなどを出力する最新機器です。精密かつスピーディーな製作が可能で、治療の精度向上や患者様の負担軽減にもつながります。

CAM

ミリングマシン CAM

ジルコニアやセラミックなどの補綴物を効率よく作成できるデジタル加工機です。人の手では難しい複雑な形状も正確に再現可能。

CAM

マイクロスコープ

歯科技工用の顕微鏡です。拡大視野のもとで細部まで確認しながら作業を行い、より美しく適合精度の高い補綴物を作成します。

Price

IOS ジルコニアインレー

IOS ジルコニアインレー※個歯模型マージンゼロ設定

¥9,000
IOS スクリューリテインジルコニアクラウン

IOS スクリューリテインジルコニアクラウン※チタンベース込み

¥29,500
単冠(ジルコニア築盛)

単冠(ジルコニア築盛)部位:右上中切歯

¥22,000
単冠(e-max)

単冠(e-max)部位:右下5番

¥10,000
  • ジルコニアフレームは別途

Deadline

天然歯

1~3歯

中5日

4~8歯

中7日

CAD/CAM関係

1~4歯

中7日

5~14歯

中10日

  • 中7日とは(10日前後)
    例:1月1日弊社到着 1月10日以降

  • 中10日とは(14日前後)
    例:1月1日弊社到着 1月14日以降

  • CAD/CAM関係(インプラントパーツ・カスタムアバットメント・ジルコニアなど)におきましては、パーツ発注、削り出しなどありますので天然歯より納期をいただいております。

  • 当日発送が遅れた場合や、休業日(祝日・年末年始・夏季休業)をまたぐご注文については休業日の日数を納期に足していただきますようお願いいたします。

  • 自費のデンチャーとクラウンが混在するケースの場合、デンチャー専用ラボに設計を依頼する場合がございます。通常に加え、プラスで1週間、計2週間の納期をいただいております。

  • お急ぎのケースなどございましたら、お電話にてお気軽にご相談ください。

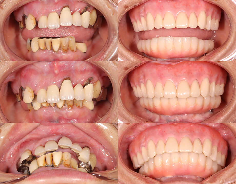
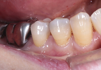
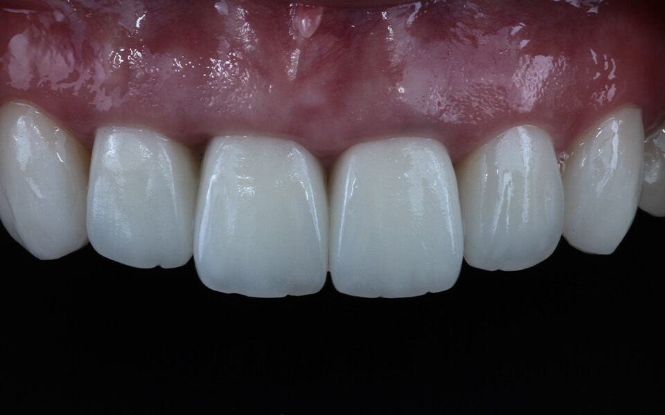
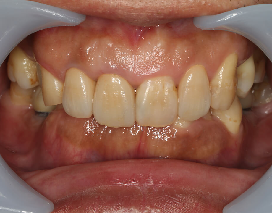
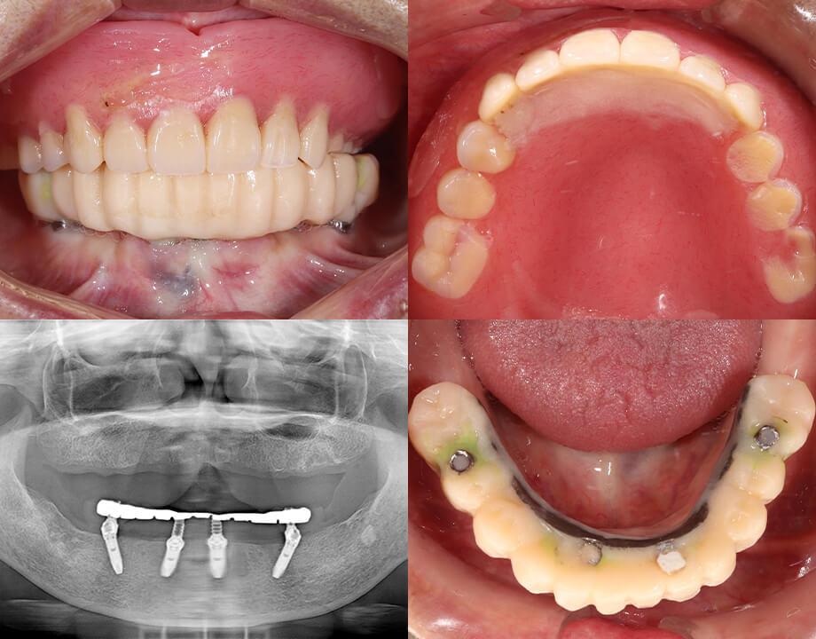
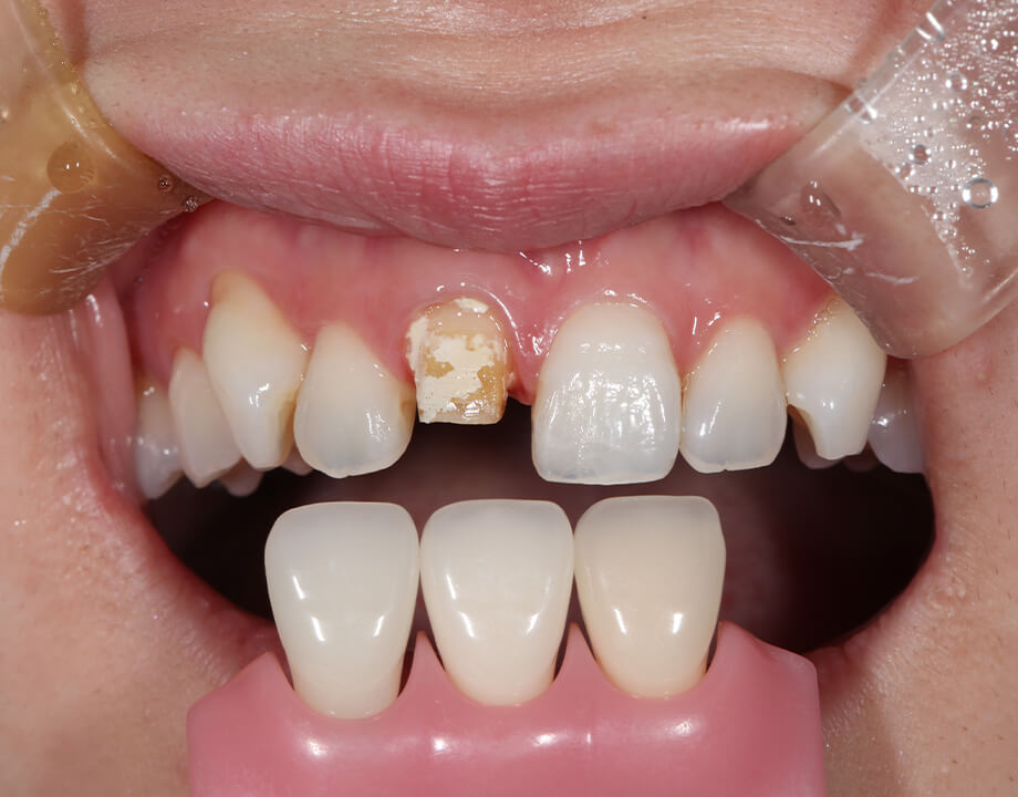
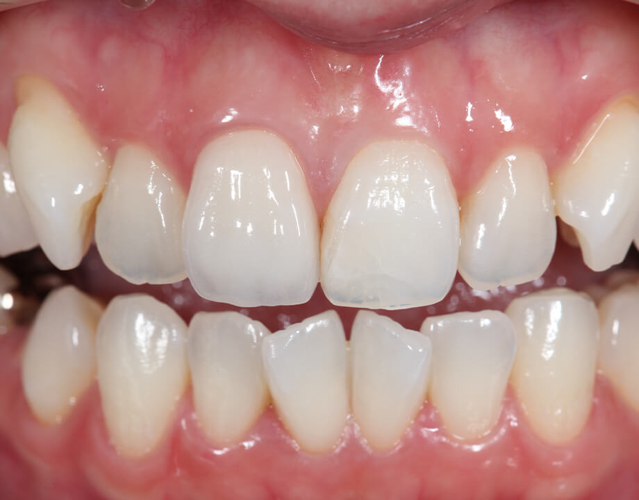
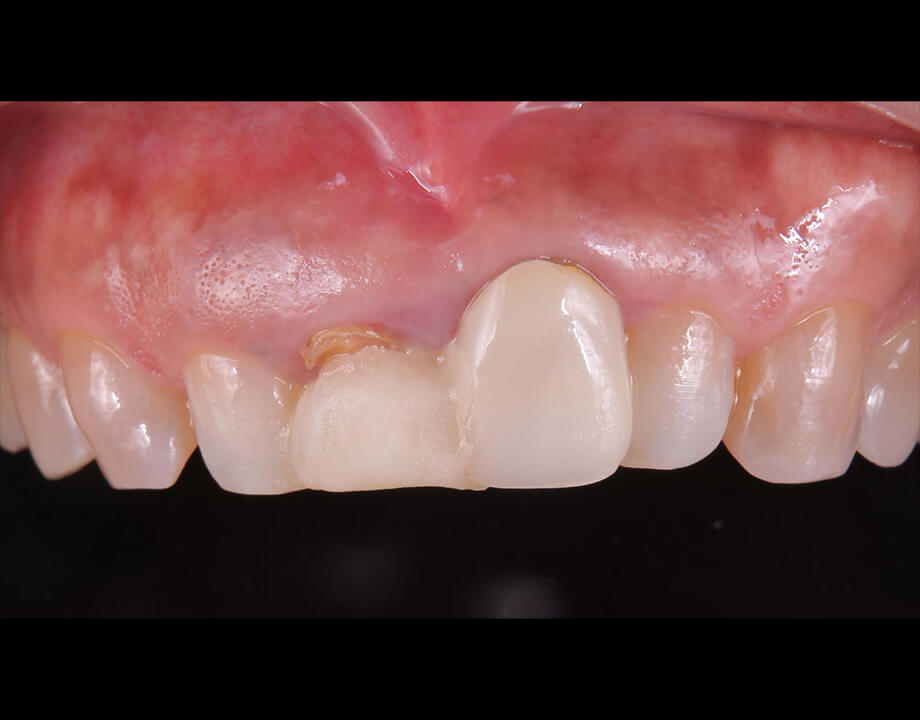
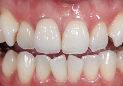
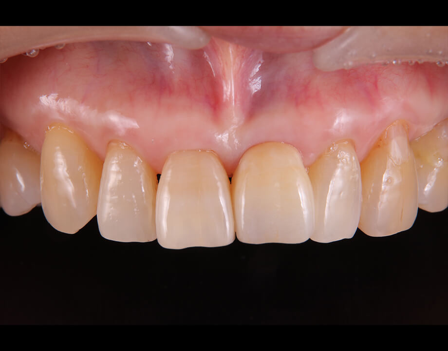
Case

Case 01天然歯

ジルコニアレイアリング

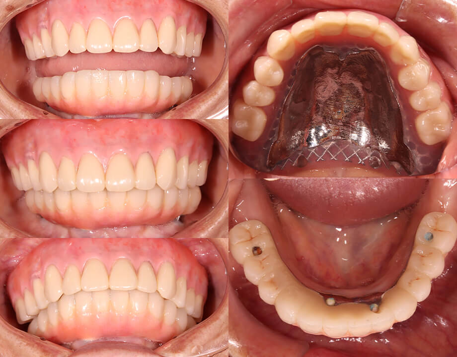
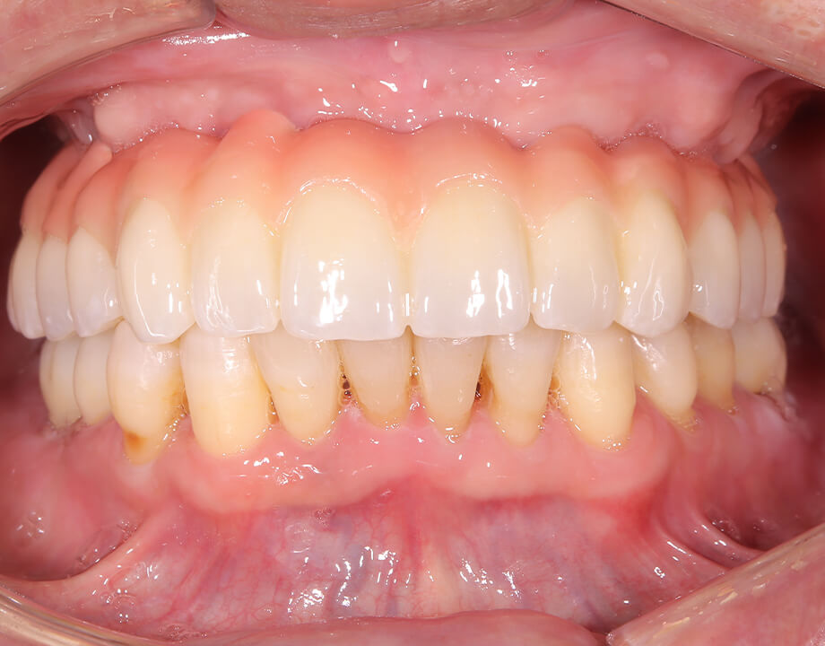
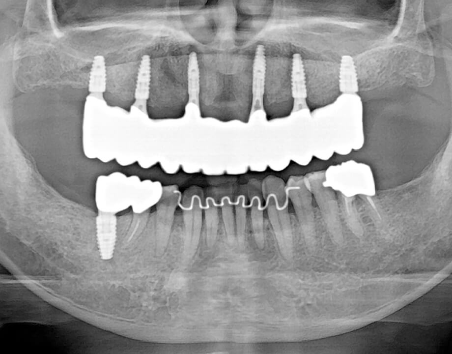
Case 02インプラント

モノリシックジルコニア

Case 03インプラント

モノリシックジルコニア

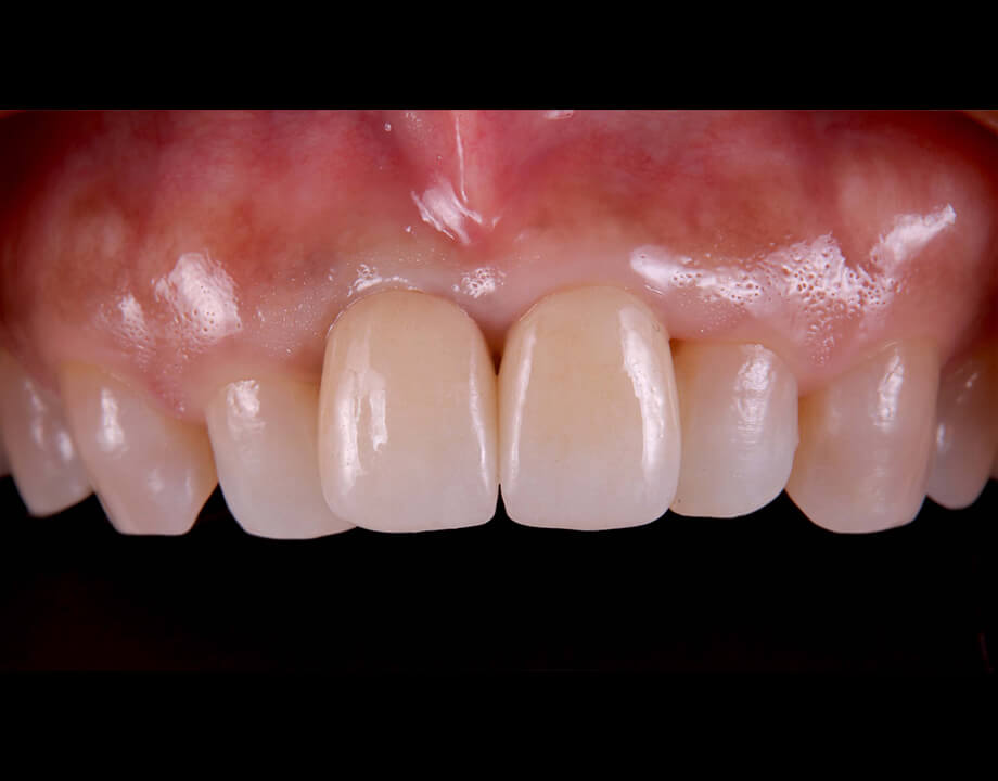
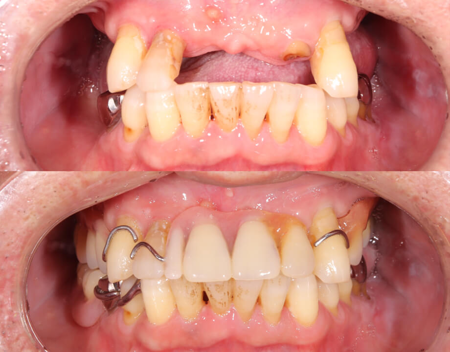
Case 04天然歯

ジルコニアレイアリング

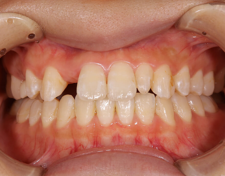
Case 05天然歯

モノリシックジルコニア、接着性ブリッジ

Case 06咬合再構成

デジタルワックスアップ
→シュミレーション(SMOP)
→プロビジョナル
→最終補綴物(モノリシックジルコニアAGC)

Case 07咬合再構成

アナログワックスアップ
→シュミレーション(ノーベルガイド)
→プロビジョナル(即時荷重)
→最終補綴物(ハイブリッドクラウン)

Guidance

治療計画段階からご相談いただける、
信頼のパートナーとして

私たちはインプラント補綴を中心に、治療計画段階からの技工相談にも対応しています。
症例に合わせた技工物の提案、補綴設計のご相談、模型・デジタルデータでのやり取りなど、医院様ごとのスタイルに柔軟に対応いたします。
また、技工所様の一部外注先としてのご利用も歓迎しております。
品質を第一に考え、短納期での対応が必要な案件についてもご相談ください。
お互いの得意分野を活かしながら、良い連携を築けるパートナーを目指します。

Features

診断用ワックスアップ

診断用ワックスアップ

全顎的な症例に限らず, 少数歯の症例においても,インプラントの埋入ポジションや矯正治療の有無など治療計画を立案する際に有効です。先生方々の治療計画のお役に立ちたいと思います。

補綴設計

補綴設計

患者さんのキャラクター、年齢、補綴歯有無、インプラント有無なども含め患者さんの5年後10年後の将来を考慮した補綴設計を考えていきたいと思います。

責任感

責任感

ひとりの患者様の補綴作業は分担せず、ひとりの担当者が最後まで責任を持ってやり抜く。常に患者様一人ひとりの人生設計にも思いを馳せ、決して流れ作業ではない、より良い壊れない補綴物を目指す。それが我々の理念です。

Recruit

インプラント技工に挑戦したい方、
歓迎します。

私たちは、インプラント補綴に真剣に取り組みたい歯科技工士を募集しています。
院内ラボ・自費補綴専門ラボなどで培った技術とノウハウを活かし、丁寧な技術指導と実践的な学びの場を提供しています。
「もっと学びたい」「技術を伸ばしたい」という方を歓迎します。

未経験大歓迎

POINT.1未経験大歓迎

キャリアアップ

POINT.2キャリアアップ

充実した福利厚生

POINT.3充実した福利厚生

フルタイム

募集職種 歯科技工士
仕事内容 インプラント技工、自費技工
給与 220,000円~
技能手当 ~80,000円
皆勤手当 10,000円
技術手当 ~ 400,000円
能力により手当加算
昇給 あり
前年度実績 昇給率 2%〜7%/1月あたり
待遇 正社員登用あり
通勤手当 実費支給 15,000円/月
社会保険完備(雇用保険・労災保険・健康保険・厚生年金保険)
勤務時間 9:00〜18:00
時間外労働 月平均10時間
休日 土・日・その他
週休二日制
6ヶ月経過後の年次有給休暇日数10日
応募条件 歯科技工士免許必須

パート

募集職種 事務
仕事内容 技工製作の制作のサポート
請求書作成等の簡単なパソコン作業
その他、歯科技工士のサポート等
給与 時間給 1,300円〜1,500円
昇給 あり
前年度実績 昇給率 3%〜5%/1月あたり
待遇 正社員登用あり
通勤手当 実費支給 15,000円/月
労災保険加入
勤務時間 9:00〜18:00
時間外労働なし
休日 土・日・祝日・その他(夏季・お盆・年末年始)
週休二日制
6ヶ月経過後の年次有給休暇日数3日
応募条件 歯科助手、歯科事務の経験者優遇

About us

患者様の人生を見据えた補綴設計を

私たちは、インプラント補綴を中心に患者様の人生を見据えた補綴設計を行う歯科技工所です。大手ラボで感じてきた「人が入れ替わり、責任の所在が曖昧になる」ような環境ではなく、生産者の顔が見える体制で、一つひとつの補綴物に責任を持って向き合うことを大切にしています。代表は技工歴20年以上、インプラント技工歴は15年以上。これまでに10社以上のインプラントメーカーに対応し、各社のシステム特性を活かした補綴設計の提案が可能です。
また、自身も技工所を運営している立場だからこそ、歯科医師の視点と、補綴物を装着する患者様の生活背景や年齢、咬合力までを考慮した設計を心がけています。患者様の人生設計に寄り添い、安心して使い続けられる補綴物をこれからも医院様と共につくり上げていきたいと考えています。

Representative

  •  代表プロフィール
  •  代表プロフィール

保険技工を経験後、自分が製作した補綴物が実際にどう機能しているのかを確かめたいという想いから、院内ラボに5年間勤務し、インプラントや自費補綴を学びました。その後も、より高いクオリティとスピードを求めて外部ラボで研鑽を重ね、さらに自費専門の医院内ラボで6年間、多くの難症例と向き合ってきました。こうした経験を経て、精度・強度・審美性すべてにこだわった補綴物を提供するためにLeafを開設。現在も、患者様の未来と医院様の信頼に応える技工を追求し続けています。

代表戸島 大輔

1980年 香川県高松市生まれ
2003年 新大阪歯科技工士専門学校(夜間)卒業
2004年 大阪大学歯学部付属病院技工研修終了
2015年 Leaf 開設
2025年 Leaf Inc. 開設

所属学会・会員

  • 日本臨床歯科医学会 会員

  • 国際口腔インプラント学会 認定歯科技工士

  • SAFE 会員

  • FDP 会員

  • ケアークラブ

  • 大阪SJCDテクニシャンコース 15期

  • ODGC 1期

  • GPO技工コース1期

  • 咬合・補綴治療計画セミナー 29期

  • GDS デンチャー各論コース 20期

  • 基礎臨床コース 4期

掲載・文献

  • 歯科技工 2013・8
    Inside Story of HMPS 5th Congress in Osaka

  • QDT 2013・12
    The Pice of Dental Technology

  • 2014・9
    〜明日につながるワンポイントテクニック〜

  • QDT 2016・10,11,12
    若手歯科技工士が知っておきたい
    エックス線・CT画像の基礎知識

Staff

KAZUYA TERANO

出身地 TOKUSHIMA
出身学校 SHINOSAKA PCT
趣味 キャンプ、映画鑑賞
技工歴
  • 保険技工補綴 / 10年

  • 自費技工審美 インプラント / 8年

TSUKASA KAWANAMI

出身地 OSAKA
出身学校 SHINOSAKA PCT
趣味 音楽鑑賞、釣り(BASS)
技工歴
  • 保険技工補綴 / 4年

  • 自費技工美容 / 6年
    審美 インプラント / 8年

SUMIE ARITA

出身地 WAKAYAMA
出身学校 TOYO PCT
趣味 旅行、万博
技工歴
  • 保険技工有床 / 3年

T.T

出身地 OSAKA
出身学校 TOYO PCT
趣味 Tを探すこと、読書
前職 不動産営業

Outline

歯科技工所名 Leaf Inc.
所在地 〒550-0005
大阪府大阪市西区西本町1-14-3
本町コスモビル4F
代表名 戸島 大輔
TEL 06-6599-9500
FAX 06-6599-9515
診療時間
  • 9:00-18:00

  • 休診日
    土・日・年末年始、不定休

アクセス
  • 地下鉄御堂筋線
    「本町駅」徒歩4分

Contact

お問い合わせをいただく前に「個人情報の取り扱いについて」をお読みいただき、
記載されている内容に関して同意の上、お問い合わせください。
*印のつく項目は入力必須となります。
お急ぎの場合はお電話(06-6599-9500)にてお問い合わせくださいますようお願いいたします。

お名前*
医院名・法人名等*
ふりがな*
お電話番号*
メールアドレス*
お問い合わせ内容*

個人情報の取り扱い*

Leaf inc.は、以下のとおり個人情報保護方針を定め、個人情報保護の仕組みを構築し、全従業員に個人情報保護の重要性の認識と取組みを徹底させることにより、個人情報の保護を推進致します。

個人情報の管理
当社は、お客さまの個人情報を正確かつ最新の状態に保ち、個人情報への不正アクセス・紛失・破損・改ざん・漏洩などを防止するため、セキュリティシステムの維持・管理体制の整備・社員教育の徹底等の必要な措置を講じ、安全対策を実施し個人情報の厳重な管理を行ないます。

個人情報の利用目的
お客さまからお預かりした個人情報は、当社からのご連絡や業務のご案内やご質問に対する回答として、電子メールや資料のご送付に利用いたします。

個人情報の第三者への開示・提供の禁止
当社は、お客さまよりお預かりした個人情報を適切に管理し、次のいずれかに該当する場合を除き、個人情報を第三者に開示いたしません。
・お客さまの同意がある場合
・お客さまが希望されるサービスを行なうために当社が業務を委託する業者に対して開示する場合
・法令に基づき開示することが必要である場合

個人情報の安全対策
当社は、個人情報の正確性及び安全性確保のために、セキュリティに万全の対策を講じています。

ご本人の照会
お客さまがご本人の個人情報の照会・修正・削除などをご希望される場合には、ご本人であることを確認の上、対応させていただきます。

法令、規範の遵守と見直し
当社は、保有する個人情報に関して適用される日本の法令、その他規範を遵守するとともに、本ポリシーの内容を適宜見直し、その改善に努めます。

個人情報の取り扱いを必ず上記内容をご確認の上、
同意いただける場合は「個人情報の取り扱いに同意する」にチェックを入れてから
「送信する」ボタンを押してお進みください。

「個人情報の取り扱いに同意する」にチェックを入れてください